前言
喷嚏竟是抗癌利器?中国科学家逆向思维,把折磨人的过敏反应变成精准杀癌新武器!浙江大学团队在《细胞》杂志发表突破性研究:通过将肿瘤抗原伪装成"过敏原",成功调动肥大细胞携带药物直捣肿瘤老巢。这种"活体快递小车"策略已在实验中获得显著疗效,为个性化癌症治疗打开全新路径。
— 由AI分析文章生成,仅供参考。
你是否曾被花粉折磨得喷嚏连连,或因一口海鲜全身红肿发痒?在中国科学家眼里,这些令人烦恼的过敏反应,竟藏着攻克肿瘤的新线索!12月10日,一项突破性研究在国际顶级期刊《细胞》上发表,中国科研团队成功将“过敏机制”转化为精准打击癌症的“免疫利刃”。

人体内有一类名叫“肥大细胞”的快速反应“哨兵”。一旦免疫球蛋白E(IgE)识别到过敏原,它们能在几秒内释放炎症因子,迅速启动局部免疫防御。但遇到花粉、海鲜等无害物质时,这种迅猛反应就会“防卫过当”,引发过敏。
浙江大学药学院顾臻教授团队敏锐地注意到:肥大细胞的“过度反应”与肿瘤微环境的“免疫抑制”形成鲜明对比。能否搭一座桥,把过敏的力量“调转枪头”用来攻击肿瘤?
研究团队灵机一动,将肿瘤抗原伪装成“过敏原”,让IgE抗体像识别花粉一样识别癌细胞。这样一来,肥大细胞就能主动追踪肿瘤、精准聚集,并在肿瘤局部引发一场可控的“过敏风暴”,快速激活免疫攻击。

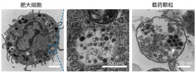
更巧妙的是,肥大细胞还能化身“活体快递小车”,装载溶瘤病毒等治疗药物,直达肿瘤老巢。在黑色素瘤、乳腺癌及肺转移瘤小鼠实验中,这套策略显示出强大的抑瘤效果,并成功激活了肿瘤内的T细胞免疫应答。
“这为真正的个性化癌症治疗打开了新窗口。”顾臻教授解释说,未来每位患者的肿瘤特异抗原都可被制成专属的“过敏信号”,引导免疫细胞精准锁定癌症。团队下一步将推进患者特异IgE筛选、工艺优化,并联合现有免疫疗法,全力推动临床转化。
